




7
Premium Content
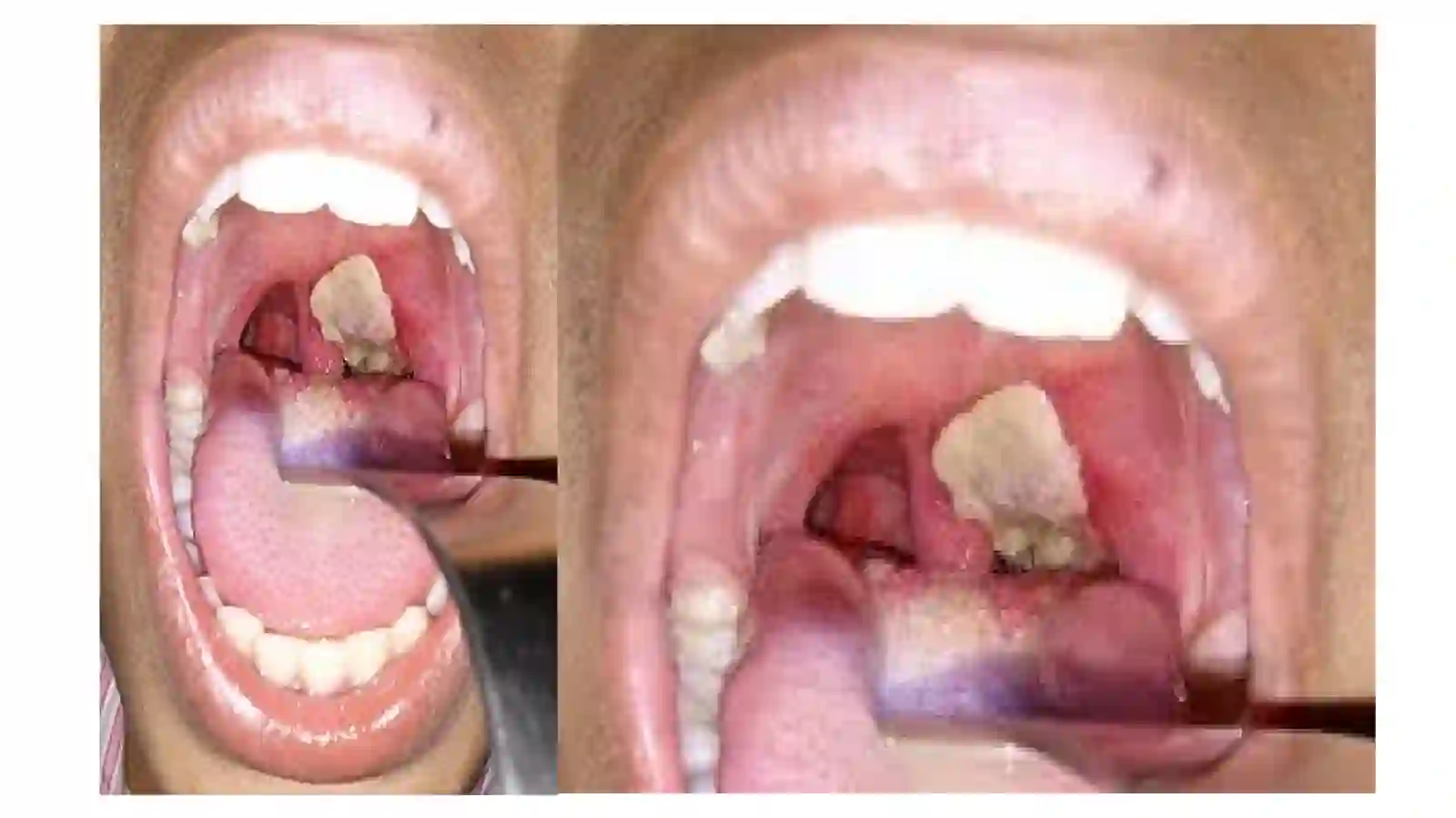
Difteriya,ko’ky’o’tal,epidemik parotitdabolavauningoilasigahamshiralikparvarishi
9,000so'm
Betlar soni
24 taFayl hajmi
8.78 MBFayl turi
.pptxTeglar
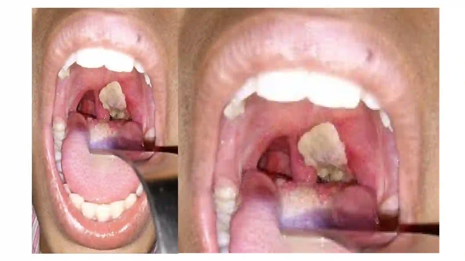
#difteriya#epidemik parotit#ko’ky’o’tal
Premium Content
Difteriya,ko’ky’o’tal,epidemik parotitdabolavauningoilasigahamshiralikparvarishi
9,000so'm
Betlar soni
24 taFayl hajmi
8.78 MBFayl turi
.pptx
✓
Muallif
Bakhrom E
Tasdiqlangan sotuvchi
Jami mahsulotlar7549 ta
Sotilgan54 ta